Показания к исследованию
Рентгенологическое исследование делится на 2 вида: профилактическое и диагностическое. Первое назначается всем женщинам, достигшим возраста 35 лет, а при наличии генетической предрасположенности к онкологическим заболеваниям порог снижается до 30 лет. Сделать маммографию молочных желез лучше именно с этого возраста по той причине, что, когда девушка или женщина еще молода, ее грудь отличается большей плотностью. Результаты исследования могут оказаться недостоверными.
Абсолютные показания
В ряде ситуаций рентгенологическое исследование является обязательным. В противном случае велик риск упустить начинающие развиваться злокачественные опухоли, в том числе рак.
Уплотнения в толще молочной железы
Это отклонение от нормы врач обычно определяет в ходе пальпаторного осмотра. Обнаружить его может и сама женщина, делая самообследование молочной железы. Поскольку уплотнения могут свидетельствовать о развитии опухоли, то даже при отсутствии иных пугающих симптомов стоит немедленно пройти обследование.
Различные выделения из соска, его деформация
Подготовка к маммографии молочных желез потребуется и в случае с выделениями из соска. Жидкость может быть прозрачной, а также желтоватой или розоватой. Особенно должны насторожить кровянистые и гнойные выделения – часто они говорят о злокачественном новообразовании.
Боли в груди, отек, увеличение или уменьшение в размерах
Болезненные ощущения бывают связаны с гнойными воспалениями, добро- и злокачественными опухолями, иногда – с неврологическими и сердечно-сосудистыми заболеваниями. Для подтверждения диагноза перед тем, как дать окончательный ответ, делают маммографию молочных желез
Выбухание или западение какого-либо участка молочной железы
Причина изменения формы груди, если это не возрастные деформации и не период после беременности и лактации, может быть в уже обозначенных ранее заболеваниях. В этом и во всех приведенных выше случаях делать маммографию нужно так часто, как того требует ваш врач.
Относительные показания
Поняв, что такое маммография, как делается это исследование и когда оно необходимо, правильно будет перейти к списку диагнозов, при которых делать рентген-диагностику необязательно, но желательно. Решение в данном случае принимают совместно врач и пациентка.
Мастопатия
Исследование позволяет: убедиться в том, что киста носит доброкачественный характер, определить объемы новообразования, вероятность оперативного вмешательства.
Ожирение
Данное состояние провоцирует не только болезни сердца и сосудов, а также опорно-двигательного аппарата, но может стать предпосылкой к раку груди.
Воспалительные заболевания (маститы)
Рентген-диагностика делается в том случае, если врач не может пальпаторно определить причину боли и увеличения молочной железы либо подозревает мастит, но нуждается в подтверждении диагноза.
Бесплодие
Рентгенография молочных желез в этом случае носит профилактический характер, поскольку женщины, страдающие бесплодием, больше подвержены онкологическим заболеваниям.
Оперативные вмешательства на молочных железах в анамнезе
Маммографию молочных желез делают и после того, как грудь пациентки была прооперирована (например, при удалении опухоли или кистозного новообразования). Здесь целью обследования становится наблюдение за ситуацией в динамике, дабы исключить риск осложнений или рецидива.
Что показывает маммография
При маммографии рентгеновские лучи проходят через молочную железу. Если на их пути встречается более плотный участок (опухоль) — он оставляет тень на плёнке. Наилучший результат достигается сравнением старых и новых снимков — опытный специалист может заметить появление самых незначительных изменений.
Таким образом оценивается толщина кожи в области соска, тени в области ткани молочной железы, наличие сгруппированных микрокальцинатов, подмышечные лимфатические узлы (видны не всегда).
Маммограмма груди
При небольшой и компактной молочной железе иногда не вся она укладывается в маммограф. Тогда в ней остаются «слепые зоны» чаще всего у границы железы на периферии — на 10:30, 2:30, 4:30 и 7:30 — если использовать циферблат часов как ориентир. В таких случаях может помочь «косая укладка».
Если вы уже сами обнаружили у себя опухоль — проследите, чтобы она попала в снимок: иногда для этого необходимо сделать косую укладку молочной железы в аппарат.
Фото выполнения маммографии при косой укладке, когда опухоль не попадала в снимок при традиционных (вертикальной и горизонтальной) укладках.
Маммография маленьких молочных желёз
Небольшие молочные железы чаще плотные и неудобные для укладки в маммограф. Маммография им возможна — при достаточном опыте специалиста.
При плотной молочной железе (чаще у нерожавшей или малокормившей женщины) аналоговый маммограф не всегда позволяет выявить опухоль. Таким пациенткам рекомендуется делать маммографию на цифровых аппаратах или CESM. У таких пациенток чаще всего бывают ошибки в диагностике.
Где можно сделать маммограмму
| ОБСЛЕДОВАНИЕ перед операцией при раке |
|
|
Сохранение грудиС ОНКОПЛАСТИКОЙ |
|
|
МастэктомияС РЕКОНСТРУКЦИЕЙ |
|
| БиопсияСТОРОЖЕВЫХ УЗЛОВ | |
|
Рак соска или РАК ПЕДЖЕТА |
|
| ПРОГНОЗЫ при раке молочной железы |
Специалисты Университетского Маммологического Центра регулярно повышают свой профессиональный уровень, посещают отечественные и зарубежные конференции, чтобы быть в курсе всех современных тенденций в онкологии и пластической хирургии.
Начните своё лечение прямо сейчас:
запишитесь на консультацию по телефону: 8 (812) 939-18-00 или через форму на сайте
Описание маммографии
Описание маммографии делает врач рентгенолог. Иногда этот доктор чаще видит и описывает сломанные кости, а маммограмму видит крайне редко. Тогда описание маммографии не имеет диагностической ценности — опыт специалиста имеет прямое значение. Именно поэтому иногда рак на маммограммах нередко просматривают до того, как опухоль начнёт определяться руками.
Качество маммографии зависит от аппарата и врача, который описывает снимки. Эксперт должен ежегодно смотреть 3.500 — 11.000 снимков, иначе качество такой маммография будет низким даже на современном аппарате. В государственной системе социальной медицины сегодня отсутствует специализация рентгенологов. Почти всегда в поликлиниках маммограммы описывает врач-совместитель, не имеющий должного опыта в описании маммограмм и раннем выявлении рака молочной железы. Поэтому мы рекомендуем выполнять маммографию у профессионалов. При описании маммограмм профессионал оценит ваши новые снимки в сравнении со старыми — чтобы не пропустить вновь появившиеся образования. Для этого при скрининговой маммографии обязательно принесите ему свои старые снимки или диски.
| Правильное ОБСЛЕДОВАНИЕ при раке и подозрении |
Маммография и УЗИ
Маммография
Маммография это рентген молочных желез. Это контрольное обследование для скрининга рака молочной железы, которое позволяет выявить небольшие непальпируемые опухоли на ранней стадии.
Изображения интерпретируются радиологами, которые ищут подозрительные аномалии (узелки, микрокальцинаты и т. д.). Не забудьте принести свои старые изображения, чтобы рентгенолог мог сравнить их с новыми и выявить любые изменения.

Маммография классифицируется по 6 категориям ACR (классификация BI-RADS Американского колледжа радиологии):
- ACR 0: необходимы дополнительные исследования
- ACR 1: нормальная маммограмма
- ACR 2: типично доброкачественное изображение, не требующее ни наблюдения, ни дополнительного обследования.
- ACR 3: вероятно доброкачественное изображение. Рекомендуется краткосрочный мониторинг (от 4 до 6 месяцев).
- ACR 4: подозрительное изображение: необходима биопсия
- ACR 5: крайне подозрительное изображение: необходима биопсия
- ACR 6: рак подтвержден биопсией
УЗИ
Применение УЗИ позволит либо более тонко проанализировать аномалии, выявляемые при маммографии, либо улучшить анализ плотных молочных желез (чаще всего у молодых женщин) и проводить прицельные биопсии в случае подозрительного поражения.
Ультразвку также позволяет исследовать подмышечные области, выявить любые подозрительные лимфатические узлы и провести их биопсию.
Маммография и УЗИ позволяют выявить подозрительные образования, но не подтверждают диагноз рака молочной железы. Биопсия необходима для подтверждения диагноза. Выполняется рентгенологом под местной анестезией.
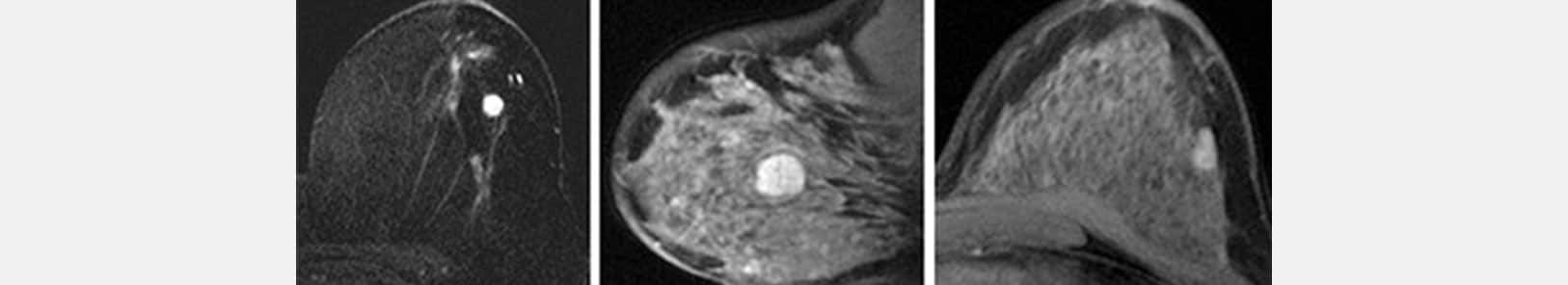
МРТ является дополнительным исследованием.
МРТне заменяет маммографию или УЗИ. Оно не является систематическим обследованием ни для скрининга, ни для диагностики рака молочной железы.
Это дополнительное обследование, которое иногда назначает врач:
- В рамках скрининга у некоторых пациентов с высоким риском развития рака (генетическая мутация).
- При подозрении на онкологию помочь в постановке диагноза, когда стандартная визуализация не позволяет сделать вывод с уверенностью.
- В случае подтвержденного рака лучше уточнить степень поражения.
- Во время лечения, особенно в случае предоперационной химиотерапии.

Женщинам в пременопаузе МРТ в идеале следует проводить между 8-м и 12-м днем цикла.
Женщинам в постменопаузе, получающим заместительную гормональную терапию, рекомендуется прекратить это лечение за 6–8 недель до обследования.
Что может показать маммография?
Ранняя диагностика рака молочных желез с помощью маммографии — это шанс женщины победить болезнь, сохранив при этом грудь!
Диагностика изменений в тканях молочных желез помогает обнаружить узлы, уплотнения, изменения кожи и подкожной клетчатки, доброкачественные и злокачественные опухоли, проанализировать их структуру, форму, размер, расположение.
Изучением, профилактикой и лечением заболеваний молочной железы занимается такой раздел медицины, как маммология.
Доброкачественные опухоли молочных желез
Доброкачественные опухоли отличают четкие границы, плотность у них та же или ниже, чем у молочных желез.
С помощью маммографии можно выявить кисту, которая является полостью с жидкостью. Также киста, при которой закупоривается проток сальной железы, называется атеромой. Так как с помощью рентгена часто нельзя дифференцировать кисту и похожую опухоль, для постановки точного диагноза проводятся дополнительные обследования.
Примерно в 9% случаев среди узловых образований молочных желез встречается липома. Истинная липома состоит из зрелой жировой ткани, окруженной капсулой.
У женщин моложе 35 лет чаще всего обнаруживают такую патологию молочных желез, как фиброаденома. Большинство таких образований меньше 2-3 см в диаметре, но бывают и гигантские фиброаденомы до 6 см.
В период беременности и лактации у женщины может образоваться доброкачественная жировая киста, так называемая галактоцеле.
В результате воспаления, травмы или хирургического вмешательства иногда развивается жировой некроз, или олеогранулема (очаговое омертвление жировой ткани).
Маммография также позволяет выявить кальцинаты в молочной железе (участки отложения солей кальция). Возникновение даже небольших очагов может указывать на начало онкологического процесса. Для уточнения диагноза могут потребоваться дополнительное УЗИ и пункция с цитологическим или гистологическим исследованием.
Особый интерес представляют диффузные кистозно-фиброзные мастопатии, так как они могут стать фоном для развития рака молочной железы. Фиброзно-кистозная мастопатия – это группа заболеваний молочной железы, которая часто встречается у женщин и характеризуется изменениями и нарушениями в ткани молочных желез.
Неспецифические заболевания молочной железы (мастит)
Различают острые и хронические маститы. В большинстве случаев острый мастит развивается в период лактации (лактационный мастит). Патология возникает из-за проникновения инфекции в ткань молочных желез через поврежденный сосок или ареолу. У пациентки в анамнезе отмечаются нагрубание и болезненность молочных желез, повышение температуры тела, гиперемию кожи, болезненный инфильтрат. Эта форма мастита хорошо визуализируется при ультразвуковом исследовании.
Если вы и раньше делали маммографию, то результат исследования необходимо показать врачу — так он сможет при наличии изменений отследить их динамику.
Злокачественные опухоли молочных желез
Маммографию необходимо проходить, чтобы в случае чего вовремя обнаружить рак молочных желез. Выделяют протоковый рак, дольковый рак и рак соска, или болезнь Педжета. Основной маммографический признак внутрипротокового рака – наличие микрокальцинатов.
Сосочковый рак, локализованный в крупных протоках, может проявляться на маммограммах сгрупированными микрокальцинатами. Клинически примерно в 20% случаев проявляется кровянистыми выделениями из соска.
Инвазивный рак молочной железы развивается из внутрипротокового неинвазивного рака. Это значит, что опухоль может разрастаться в соседние ткани. Чаще всего встречается инфильтрующий протоковый рак (протоковая карцинома). Реже – дольковая карцинома, она развивается из долек в молочной железы, которые в период лактации продуцируют молоко.
Маммография может быть назначена и мужчине при гинекомастии – неестественном увеличении грудных желез по женскому типу. Причем у мужчин встречается даже рак молочной железы, но очень редко.
Лечение рака молочной железы
Схема лечения рака молочной железы должна подбираться индивидуально для каждой пациентки с учетом таких факторов, как тип опухоли, стадия, чувствительность новообразования к гормональной терапии
Берется во внимание и общее состояние пациента. Если опухоль обнаружена на ранних стадиях и выбрана правильная тактика ведения, то шанс полностью вылечить рак груди является весьма высоким
Хирургический метод
Оперативный метод является доминирующим в лечении рака молочной железы. При раннем выявлении опухоли возможно проведение органосохраняющей операции — секторальной резекции. Выполнение такого вмешательства сопровождается повышенным риском местного рецидивирования, в связи с чем его комбинируют с другими методами, например, лучевой терапией.
На более поздних стадиях рак груди лечится с применением мастэктомии — удаления всей молочной железы вместе с ближайшими лимфатическими узлами. Врач также может принять решение об удалении второй молочной железы, если велик риск развития и в ней злокачественной опухоли.
Чтобы разобраться, распространились ли раковые клетки в лимфатические узлы, и определиться с объемом хирургического вмешательства, может быть проведена сентинель-биопсия, или биопсия сторожевого лимфоузла. Во время операции в опухоль вводят радиофармпрепарат или флуоресцентный краситель — это помогает визуализировать лимфоузел, который первым принимает лимфу от ткани молочной железы. Его удаляют и проводят гистологическое исследование. Если в сторожевом лимфоузле не обнаруживают опухолевых клеток, можно ограничиться удалением очага в молочной железе. В противном случае показано иссечение регионарных лимфоузлов.
Лучевая терапия
С целью улучшения непосредственных и отдаленных результатов оперативного вмешательства при раке молочной железы, в качестве вспомогательного метода используется лучевая терапия. Она может применяться в предоперационном периоде для уменьшения степени злокачественности опухоли молочной железы, повреждения и регрессии микрометастазов. Однако чаще к лучевой терапии прибегают после операции, когда необходимо уничтожить раковые клетки, которые могли остаться в организме.

Химиотерапия
Для лечения рака груди применяются химиопрепараты до или после хирургического вмешательства с целью полного излечения, продления жизни и улучшения ее качества, либо для уменьшения объема операции. Каждый из химиотерапевтических препаратов оказывает действие только на клетки в определенной фазе клеточного цикла. Поэтому наиболее эффективно назначение полихимиотерапии — сочетания нескольких лекарственных средств, которые имеют разную эффективность и механизм действия.
В клиниках «Евроонко» для лечения рака молочной железы применяются наиболее современные, оригинальные европейские и американские химиопрепараты. У нас есть возможность составить «молекулярный отпечаток» опухоли, подобрать на основании его анализа наиболее эффективные и безопасные комбинации лекарств.
Лекарственная терапия: гормональные и таргетные препараты
Злокачественная опухоль молочной железы признается гормоночувствительной, если более 10% клеток в ее составе имеют рецепторы к эстрогену или прогестерону. В этом случае применяют гормональную терапию. Чем больше опухоль имеет гормональных рецепторов, чем эффективнее будет такое лечение.
В состав этого вида терапии входят несколько методов, которые останавливают выработку гормонов и блокируют их поступление. На сегодняшний день всё шире используются препараты из группы нестероидных антигормонов, которые воздействуют только на опухоль молочной железы и не затрагивают механизмы гормонообразования во всем организме. Терапия гормональными препаратами назначается как в послеоперационном периоде с целью снижения риска рецидивирования, так и в качестве самостоятельного лечения неоперабельных опухолей молочной железы для контроля над их ростом.
Для лечения рака молочной железы применяют также таргетную терапию — препараты против определенных молекул-мишеней в опухолевых клетках, минимально воздействующие на здоровые клетки организма. Таргетную терапию используют отдельно или в комбинации с другими методами лечения.
Типы строения молочных желез
Повышенная плотность молочных желез при мамографии считается фактором риска в развитии рака, а распознание типа строения является важным фактором в визуализации молочных желез, повышающим чувствительность мамографического скрининга. Женщины относяшиеся к группе риска должны проходить скрининг чаще и / или с применением дополнительных проекций.
Классификации
Пионерами в разработке классификации плотности молочных желез были Леборн (Leborgne) в 1953 году и Вулф (Wolfe) в 1967 году, описавшие повышенный риск развития рака в плотной молочной железе, но первая качественная классификация маммографических видов плотности была описана Вулфом в 1976 году.
1) Классификация Вульфа (Wolf)
Вулф разделил маммограммы на четыре типа строения (N1, P1, P2 и DY) в зависимости от соотношения / преобладания жировой и железистой ткани:
- N1: молочная железа состоит преимучествнно жировой ткани (N = норма), соответсвтует ACR 1 (низкий риск развития рака молочной железы)
- P1: данный тип включает наличие жировой ткани и линейных плотностей (расширенные протоки) занимающих не более 25% молочной железы, соответсвтует ACR 2 (низкий риск рака молочной железы)
- P2: линейные плотности (расширенные протоки) занимающие более 25% молочной железы. Они преимущественно локализуются в верхнем наружном квадранте, но могут быть распределены по всей груди (P = видимые протоки), соответствует ACR3 (высокий риск рака молочной железы)
- Dy: плотная молочная железа (Dy = дисплазия), соответствующая ACR4 (наибольший риск рака молочной железы); Эти типы могут подразделяются на подтипы с низким уровнем риска (N1 и P1) и высоким риском (P2 и DY)
Позднее Вульф добавил к предыдущим 4 категориям пятую:
Qdy (квази-дисплазия): к этой группе относятся из молодые женщины, у которых плотная структура молочных желез имеет губчатую структуру за счет жировой инфильтрации
2)Классификация Бойда (Boyd)
Альтернативный количественный метод, предложенный Бойдом и его коллегами в 1980 году, основывается на процентном соотношении плотности при маммографии и подразделяетсяся на шесть категорий:
- A: 0%
- B: >0-10%
- C: >10-25%
- D: >25-50%
- E: >50-75%
- F: >75%
Данный метод был обновлен в 1995 году с использованием компьютерной оценки измерений.
3)BI-RADS классификация плотности
Система BI-RADS также является количественным методом, предложенным Американским колледжем радиологии (2000), и используется в клинической практике радиологии в США и Германии. Классификация BI-RADS является модификацией классификации Вулфа:
Тип a: молочные железы с преимущественным жировым компонентом, наличие фиброгландулярной ткани менее 25% площади маммограмм Тип b: есть очаги фиброгландулярной ткани, занимающие от 25 до 50 % площади на маммограммах Тип c: молочные железы с гетерогенными плотностями (фиброгландулярная ткань), занимающими от 51 до 75 % площади маммограммы Тип d: очень плотные молочные железы, процент фиброгландулярной ткани более 75% площади маммограмы.
Позднее введена дополнительная сущность: наличие протезов молочных желёз.
Тип 3 и Тип 4 подразумевает под собой, что интерпретация таких маммограм затруднена, и при чтении могут быть пропущены некоторые образования.
4) Классификация Tabar
Tabár (1997) разделил мамограммы на 5 типов (I to V) основываясь на соотношении гистологических, мамологических данных:
- I: сбалансированное отношение тканей молочной железы с небольшим преобладанием фиброзной ткани
- II: преобладание жировой ткани
- III: преобладание жировой ткани с наличием ретроареолярно фиброзной ткани
- IV: predominantly nodular densities
- V: преобладания фиброзной ткани
Типы I, II и III относятся к низкому риску развития рака молочной железы; типы IV и V — к высокому.
Источник
Что такое маммография и для чего она используется?
— Маммография – это рентгенологическое обследование молочных желез. Маммография позволяет выявить ранние признаки рака молочной железы (РМЖ). Это единственный лучевой метод обследования, который доказано снижает вероятность смерти от РМЖ. Еще в 60-х годах прошлого столетия в США в первом рандомизированном клиническом испытании доказали, что с помощью регулярного прохождения скрининговой маммографии можно снизить смертность от РМЖ на 40%. С тех пор проведено множество других исследований в разных странах, и во всех получили схожие результаты о снижении смертности на 20- 40%.
Как проходит маммография?
— Никакой специальной подготовки для процедуры не требуется. Маммография проводится с помощью специального аппарата — маммографа. Маммографы бывают аналоговые и цифровые. Большинство современных аппаратов – это цифровые аппараты.
Цифровая маммография обладает рядом преимуществ, например, обеспечивает более высокое качество снимков и более высокую точность изображения. Цифровые маммографы используют более низкую дозу облучения. Когда пациентка проходит маммографию, ей желательно спрашивать, на каком аппарате будут проводить обследование, и сделать выбор в пользу цифровой маммографии.
Обычно пациентка заходит в кабинет маммографии, раздевается по пояс и подходит к аппарату. Молочную железу прижимают с двух сторон специальными компрессионными пластинами и производят снимок. Сам снимок делается в течение нескольких секунд. Затем пластины раздвигаются, грудь освобождается, и процедура повторяется для второй молочной железы.
Всего производится два снимка для каждой молочной железы, то есть в итоге получается 4 снимка. Молочную железу сжимают в двух направлениях: сверху вниз и изнутри снаружи. Это делается для того, чтобы охватить как можно большее количество ткани, чтобы не дать возможности раку остаться незамеченным, не захваченным в поле зрения.
Кроме того, еще один совет женщинам: не пользоваться дезодорантом в подмышечной области в день обследования, это может создать артефакты и на снимке это может выглядеть как кальцинаты (скопление солей кальция в тканях и органах, на снимках видны как белые точки).

Имеет ли значение, в какой день месячного цикла проходить маммографию?
— Нет, это абсолютно не имеет значения. Потому что информативность и эффективность маммографии не зависят от дня цикла. Почему то в нашей стране распространено мнение, что маммографию следует проходить после менструации. Но это не так. Если в груди есть какие-то образования, мы увидим это в любой день менструального цикла.
Исключение – это женщины, у которых молочные железы нагрубают и есть выраженная болезненность перед менструациями. Таким женщинам при условии профилактического обследования мы рекомендуем для уменьшения болезненных ощущений приходить после менструации, когда грудь будет более расслабленной. Но в случае если у таких женщин имеются какие-то жалобы, подозрительные симптомы, то маммографию не стоит откладывать, надо пройти ее в любой день цикла.





























